Khi nào cần trám răng?
Sâu răng là bệnh lý rất phổ biến hiện nay, nguyên nhân chủ yếu là do vệ sinh răng miệng không tốt và chế độ ăn uống không khoa học. Thức ăn đọng lại trên răng sau mỗi bữa ăn không được làm sạch sẽ tích tụ và bám lại trên răng, vi khuẩn từ mảng bám sẽ tấn công răng và ăn mòn răng, ban đầu sâu răng sẽ chỉ tạo ra những lỗ sâu nhỏ li ti trên bề mặt. Lâu dần, nếu không được điều trị dứt điểm, nó có thể sẽ ăn mòn và làm mất răng.

Trám răng là gì?
1. Sâu răng
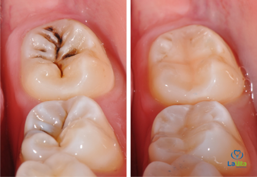
Sâu răng là bệnh do vi khuẩn, vi khuẩn lên men chất bột đường tỏng thực phẩm tạo ra acid. Acid hòa tan chất khoảng của răng tạo ra lỗ trên bề mặt men răng ọi là sâu răng. Sâu răng cũng có thể do khiếm khuyết của men răng. Men răng dễ hòa tan trong acid do cấu tạo thành phần muối khoáng ở bề mặt men răng. Bề mặt men răng có nhiều trũng, rãnh sâu, dễ đọng thức ăn nhưng khó chải rửa sạch. Thức ăn là nguồn dinh dưỡng nuôi vi khuẩn, sinh acid gây sâu răng tại các trũng, rãnh.
2. Chân thương răng
Trong các tình huống tai nạn khiến co răng gãy hoặc vỡ thì vật liệu trám được sử dụng để tái tạo lại hình dáng ban đầu, đồng thời đảm bảo tốt chức năng nhai của răng.

Trám răng để phục hồi hình dạng ban đầu của răng
3. Mòn răng
Thường do nhiều nguyên nhân như:
- Chải răng sai phương pháp (chà ngang), chải răng quá mạnh, sử dụng bàn chải lông cứng, làm lớp men vùng cổ răng thường rất mỏng bị mòn, khuyết, lộ lớp ngà răng, gây nhạy cảm khi ăn uống đồ nóng hoặc lạnh. Khi đó người ta có thể trám vết mòn, bảo vệ lớp ngà răng
- Nghiễn răng gây mòn cổ răng do tạo lực xoắn, mòn mặt nhai, rìa cắn, ....
Các trường hợp trên được điều trị bằng trám răng thường dùng Composite trám khuyết hồng vùng cổ răng, nếu khuyết sâu vào tủy gây đau nhức thì phải điều trị tủy, mòn mặt nhai hoặc rìa cắn quá mức nên dùng loại hình điều trị phục hình răng (bọc mão).
4. Nhu cầu thẩm mỹ: với những răng có màu sậm, kém thẩm mỹ, có thể sử dụng chất trám răng có màu sáng hơn để đắp lên bề mặt răng nhằm cải thiện màu cho răng..
5. Trám răng phòng ngừa: chủ yếu cho các bé, các răng cối có trũng rãnh sâu, dễ đọng mảng bám thức ăn và khó làm sạch. Khi đó nha sĩ sẽ thực hiện một miếng trám để làm đầy rãnh trũng đó, có tác dụng ngăn ngừa sâu răng.

Trám răng cho răng cối
Lưu ý: Không phải bất kỳ trường hợp nào cũng có thể áp dụng phương pháp trám răng để xử lý. Việc điều trị bằng phương pháp nào còn tùy thuộc vào tình trạng cụ thể của từng bệnh nhân mà bác sĩ điều trị sẽ có phương pháp tối ưu nhất. Đối với bệnh nhân, để có một hàm răng chắc khỏe thì khi có bất cứ vấn đề răng miệng nào thì không nên tự ý xử lý tại nhà mà nên đến khám tại các nha khoa uy tín để có những biện pháp can thiệp và xử lý tốt nhất.
