Bọc răng sứ bằng mặt dán sứ Veneer
Trong các loại vật liệu để bọc răng sứ thì phương pháp bọc răng sứ bằng mặt dán sứ Veneer độc đáo và đòi hỏi công nghệ và tay nghề của bác sĩ cao hơn cả.Mặt dán sứ Veneer là một lớp sứ mỏng được tạo ra nhằm mục đích dán vào răng che đi những khuyết điểm răng như răng nhiễm màu,răng bị sứt mẻ.Hôm nay hãy cùng Nha khoa uy tín tìm hiểu về Mặt dán sứ Veneer và cách thức dán mặt sứ Veneer lên răng như thế nào nhé!


Bọc răng sứ bằng mặt dán sứ Veneer
1. Mặt dán sứ Veneer là gì?
- Mặt dán sứ Veneer được làm từ một lớp sứ mỏng sử dụng một loại keo dán đặc biệt trong nha khoa để dán lên răng thật để che đi khuyết điểm của răng thật.Mặt dán sứ Veneer sử dụng công nghệ nano với độ mỏng 0.3mm được dán phủ toàn bộ bề mặt của răng thật.Với mặt dán sứ Veneer quý khách hàng không cần phải mài răng nhiều như khi bọc răng sứ kim loại và cercon.Do đặc tính mỏng của răng sứ Veneer sẽ giúp cho màu răng thật được thể hiện ra bên ngoài khá tự nhiên, giúp cho răng sứ đảm bảo trông như răng thật.
Xem thêm >>> Răng sứ không kim loại Cercon


Tính thẩm mỹ cao khi sử dụng mặt dán sứ Veneer
2.Sử dụng Mặt dán sứ Veneer trong trường hợp nào?
- Phương pháp bọc răng sứ bằng mặt dán sứ Veneer sử dụng cho trường hợp như răng nhiễm màu Tetracyline,răng nhiễm Flouride
- Răng bị sứt mẻ cạnh cắn,răng bị thưa,lệch lạc hình dạng bất thường
- Hình dạng răng bất thường không đều.
Qúy khách tham khảo thêm >>> Răng sứ kim loại Titan



Mặt dán sứ Veneer
3.Ưu nhược điểm của Mặt dán sứ Veneer
3.1.Ưu điểm:
- So với các phương pháp bọc răng sứ khác sử dụng mặt dán sứ Veneer giúp quá trình bọc răng sứ diễn ra nhanh hơn đồng thời mặt dán sứ được dán trực tiếp lên răng thật nên không cần phải mài răng quá nhiều tránh được hiện tượng đau buốt răng trong quá trình bọc răng sứ.
- Không tốn nhiều thời gian điều trị và tái khám so với các phương pháp bọc răng sứ khác
3.2.Nhược điểm
- Vì chỉ sử dụng mặt dán nên đòi hỏi công nghệ và tay nghề của bác sĩ khi thực hiện dán răng mặt sứ Veneer phải cao và cần sử dụng công nghệ hiện đại khi thực hiện
- Chi phí sở hữu một mặt răng sứ Veneer khá cao so với các loại răng sứ khác.
- Do mặt dán mỏng, nên nếu thực hiện không đúng kĩ thuật, quá trình ăn nhai không giữ gìn tốt, miếng sứ sẽ dễ bị bong ra.

Bọc răng sứ bằng mặt dán sứ Veneer
4.Quy trình dán mặt răng sứ Veneer
- Sau khi thăm khám, Bác sĩ sẽ quyết định khách hàng có chỉ định để làm veneer hay không. Làm veneer thường cần hai lần hẹn:
- Ở lần hẹn đầu, khách hàng được sửa soạn bề mặt các răng cần làm veneer bằng các phương tiện kỹ thuật chuyên biệt, việc mài răng chỉ thực hiện rất ít và không cần lấy tủy nên vẫn bảo tồn được răng tự nhiên của bạn. Sau đó răng được lấy dấu và veneer sứ được thực hiện tại labo của trung tâm chúng tôi.
- Ở lần hẹn thứ hai (1 đến 2 ngày sau ) bề mặt men răng và mặt trong của veneer sứ được xử lý với resin cement, và veneer được gắn vào bề mặt răng.
- Khi vừa đặt vào bề mặt của răng, một tia sáng cao tần được chiếu vào đúng vị trí veneer để làm cứng chất ciment dán. Kết quả là veneer sẽ nhìn giống tự nhiên như men răng thật và mô nướu xung quanh khỏe mạnh, hồng đẹp.
- Quy trình thực hiện veneer sứ thường cần từ 3 đến 4 ngày. 3 ngày để hoàn tất veneer sứ và 1 ngày cho kiểm tra lần cuối.


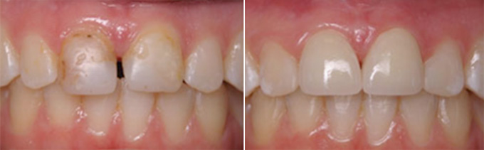
Trước và sau khi dán mặt sứ Veneer
5.Bọc răng sứ bằng mặt dán sứ Veneer ở đâu tốt nhất ?
- Nha khoa Lavita là địa chỉ nha khoa uy tín tại Hà Nội.Tại trung tâm chúng tôi có đầy đủ những loại máy móc vật liệu tân tiến nhất nhập từ các công ty uy tín trên thế giới cùng với đội ngũ bác sĩ chuyên môn cao luôn giúp quý khách hàng vừa lòng nhất khi thực hiện bọc răng sứ thẩm mỹ tại đây.Đến với Nha khoa Lavita quý khách hàng sẽ được tư vấn miễn phí và xây dựng một phác đồ điều trị cho mỗi trường hợp một cách cụ thể để đạt hiệu quả cao nhất.Đối với các quý khách hàng sử dụng phương pháp Mặt dán sứ Veneer chúng tôi sẽ thăm khám và xây dựng phác đồ hoàn hảo để có thể giúp quý khách hài lòng nhất.
Qúy khách hàng tham khảo thêm tại đây >>> Bọc răng sứ thẩm mỹ
