Bọc răng sứ bằng mặt dán sứ Emax
Bọc răng sứ bằng mặt dán sứ Emax là công nghệ tiên tiến là bước đột phá trong chỉnh nha thẩm mỹ trên toàn thế giới.Việc sử dụng phương pháp dùng mặt dán sứ diễn ra nhanh và hiệu quả đồng thời tránh được tình trạng ê buốt răng do mài răng gây nên.Răng sứ Emax có nhiều những ưu điểm vượt trội mà các loại răng sứ khác không có được.Hãy cùng Nha khoa thẩm mỹ uy tín tìm hiểu về loại vật liệu này và phương pháp bọc ra sao nhé!

Mặt dán sứ Emax
1.Mặt dán sứ Emax là gì?
- Mặt dán sứ Emax là mặt dán nhân tạo với cấu tạo lớp sườn bên trong từ những sợi thủy tinh công nghệ cao ( Glass Ceramic) có độ bền cao giúp chịu lực tốt cho người sử dụng khi ăn nhai.Lớp sườn bên trong kết hợp với 5 lớp sứ bên ngoài có đặc tính thấu quang như răng thật nên khi làm ra các răng sứ có độ trong và màu sắc sinh động như răng thật.
Qúy khách có thể tham khảo thêm >>> Mặt dán sứ Veneer


Mặt dán sứ Emax- mang lại nụ cười xinh
2.Ưu nhược điểm của mặt dán sứ Emax
2.1.Ưu điểm:
- Mặt dán sứ Emax được sản xuất từ 2 công nghệ tiên tiến trên thế giới hiện nay là :
+ Công nghệ nén (Press) để tạo ra khung sườn hay còn gọi là Emax Press
+ Và công nghệ CAD/CAM để tạo ra khung sườn, còn gọi là Emax.
+ Về mặt kỹ thuật thì cả hai phương pháp đều tạo ra khung sườn có độ chính xác tương đương (đều đạt 25 micromet), tuy nhiên ưu điểm của khung sườn Emax Press là có hình dáng tự nhiên do kỹ thuật viên làm dạng sáp sườn, còn ưu điểm của khung sườn Emax CAD là độ ổn định.
- Mặt dán sứ Emax được sử dụng rộng rãi trên toàn thế giới và được áp dụng trong những trường hợp: Răng nhiễm Tetracylin,nhiễm Flouride,răng bị vỡ,hở ....mặt dán sứ Emax khắc phục một cách tối ưu những khiếm khuyết này.
- Bọc răng sứ bằng mặt dán Emax giúp răng có màu sắc sinh động đẹp y hệt răng thật, không bị đen cổ răng sau nhiều năm sử dụng.
- Tuổi thọ của mặt dán sứ đạt từ 10-15 năm cho người sử dụng.
2.2 Nhược điểm:
- Vì chỉ sử dụng mặt dán nên đòi hỏi công nghệ và tay nghề của bác sĩ khi thực hiện dán răng mặt sứ Emax phải cao và cần sử dụng công nghệ hiện đại khi thực hiện
- Chi phí sở hữu một mặt răng sứ Veneer khá cao so với các loại răng sứ khác.
- Do mặt dán mỏng, nên nếu thực hiện không đúng kĩ thuật, quá trình ăn nhai không giữ gìn tốt, miếng sứ sẽ dễ bị bong ra.

Mặt dán sứ Emax- Khắc phục những nhược điểm của hàm răng
3.Quy trình dán mặt răng sứ Emax
- Sau khi thăm khám, Bác sĩ sẽ quyết định khách hàng có chỉ định để làm veneer hay không. Làm veneer thường cần hai lần hẹn:
- Ở lần hẹn đầu, khách hàng được sửa soạn bề mặt các răng cần làm veneer bằng các phương tiện kỹ thuật chuyên biệt, việc mài răng chỉ thực hiện rất ít và không cần lấy tủy  nên vẫn bảo tồn được răng tự nhiên của bạn. Sau đó răng được lấy dấu và veneer sứ được thực hiện tại labo của trung tâm chúng tôi.
- Ở lần hẹn thứ hai (1 đến 2 ngày sau )  bề mặt men răng và mặt trong của veneer sứ được xử lý với resin cement, và veneer được gắn vào bề mặt răng.
- Khi vừa đặt vào bề mặt của răng, một tia sáng cao tần được chiếu vào đúng vị trí veneer để làm cứng chất ciment dán. Kết quả là veneer sẽ nhìn giống tự nhiên như men răng thật và mô nướu xung quanh khỏe mạnh, hồng đẹp.
- Quy trình thực hiện veneer sứ thường cần từ 3 đến 4 ngày. 3 ngày để hoàn tất veneer sứ và 1 ngày cho kiểm tra lần cuối.


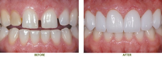
Trước và sau khi dán mặt sứ Emax
4.Bọc răng sứ bằng mặt dán sứ Emax ở đâu tốt nhất ?
- Nha khoa Lavita là địa chỉ nha khoa uy tín tại Hà Nội.Tại trung tâm chúng tôi có đầy đủ những loại máy móc vật liệu tân tiến nhất nhập từ các công ty uy tín trên thế giới cùng với đội ngũ bác sĩ chuyên môn cao luôn giúp quý khách hàng vừa lòng nhất khi thực hiện bọc răng sứ thẩm mỹ tại đây.Đến với Nha khoa Lavita quý khách hàng sẽ được tư vấn miễn phí và xây dựng một phác đồ điều trị cho mỗi trường hợp một cách cụ thể để đạt hiệu quả cao nhất.Đối với các quý khách hàng sử dụng phương pháp Mặt dán sứ Veneer chúng tôi sẽ thăm khám và xây dựng phác đồ hoàn hảo để có thể giúp quý khách hài lòng nhất.
Qúy khách có thể tham khảo thêm >>> Bọc răng sứ thẩm mỹ
