Tại sao bị đen viền nướu sau khi bọc răng sứ
Hỏi:Em là Tuấn năm nay em 26 tuổi em đang sinh sống tại Hà Nội.Em có thực hiện phương pháp bọc răng sứ cách đây 2 năm nhưng gần đây em thấy có xuất hiện viền đen quanh nướu chân cổ răng nên em cảm thấy hơi lo lắng.Nhờ các bác sĩ tại Nha khoa Lavita tư vấn giúp em nhé!
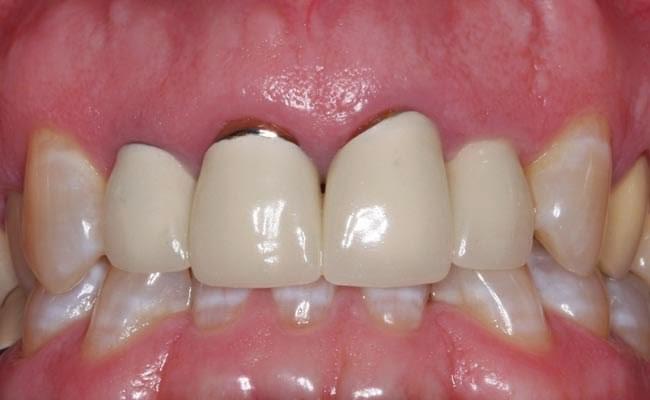
Trả Lời: Cảm ơn bạn Tuấn vì đã tin tưởng trung tâm nha khoa uy tín.Trong câu hỏi của bạn nha khoa chưa thấy bạn đề cập đến răng sứ mà bạn bọc là loại răng gì? nhưng theo như mô tả của bạn thì chúng tôi biết bạn đang sử dụng loại răng bọc sứ kim loại.Hiện tượng mà bạn gặp phải là một trong những nhược điểm mà răng sứ kim loại thường mắc phải.Vì sao lại có hiện tượng đen cổ chân răng như vậy?
Tham khảo>>> Bọc răng sứ thẩm mỹ
1.Tại sao có hiện tượng đen viền nướu sau khi bọc răng sứ?
- Răng sứ kim loại được cấu tạo từ 2 phần: Phần khung sườn bên trong được làm từ kim loại và lớp bên ngoài được tạo từ nhiều lớp sứ phủ tạo độ thẩm mỹ như răng thật.Vì răng sứ có khung sườn bằng kim loại lại phải chịu môi trường khoang miệng ẩm ướt axit nên theo thời gian phần kim loại bị lộ chân răng sẽ bị oxy hóa dần dần và phần sứ bên trên bị mòn bớt nên sẽ bị hở phần chân kim loại có màu xám.
- Một số quý khách hàng khi sử dụng răng sứ kim loại lâu năm nếu không biết chăm sóc kỹ có thể gây ra viêm nướu.Nhưng vấn đề này cũng hiếm xẩy ra vì thực tế những trường hợp những khách hàng bị viêm nhiễm chủ yếu là do dị ứng với kim loại.Một vấn đề mà người sử dụng răng sứ kim loại thấy bất tiện là tuổi thọ của loại răng sứ này không được bên chỉ từ 3-5 năm sử dụng.
Xem thêm >>> So sánh ưu nhược điểm của các loại răng sứ


Đen viền nướu sau khi bọc răng sứ kim loại
2.Khắc phục hiện tượng đen viền nướu khi bọc răng sứ
- Hiện nay với kỹ thuật và công nghệ nha khoa ngày càng tiến bộ nên các loại răng sứ cũng ưu việt hơn.Để tránh tình trạng răng bị đen viền nướu quý khách hàng có thể lựa chọn cho mình loại răng toàn sứ với khung sườn hoàn toàn từ các loại sứ Cercon/Zirconia với độ bền độ cứng vượt trội đủ khả năng chịu lực và đặc biệt ít bị ăn mòn và tính thẩm mỹ cao.

Răng sứ kim loại Titan

Răng sứ cercon HT

Mặt dán sứ Veneer

Mặt dán sứ Emax
- Qúy khách hàng khi muốn bọc răng sứ nên tìm đến các địa chỉ nha khoa uy tín để được khám tư vấn và lựa chọn được loại răng sứ thích hợp nhé!
Trên đây là câu trả lời từ bác sĩ tại Trung tâm nha khoa Hà Nội trả lời thắc mắc của bạn Tuấn và cũng là để giúp nhiều quý khách hàng đang gặp phải vấn đề như bạn Tuấn có thể hiểu.
Qúy khách hàng có thể xem thêm >>> Răng sứ
