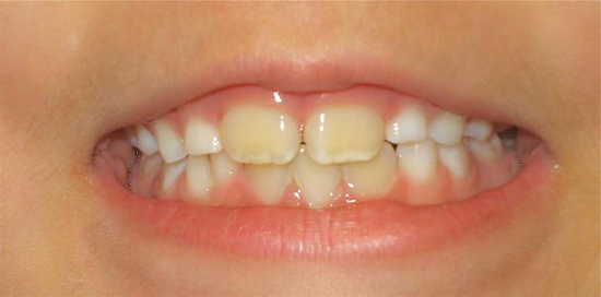
Vì sao răng vĩnh viễn mới mọc vàng hơn răng sữa?
Con người có 2 bộ răng: bộ răng sữa và bộ răng vĩnh viễn. Sở dĩ bộ răng sữa có tên đó là vì các răng có màu trắng như sữa, khi răng được thay bằng răng vĩnh viễn sẽ có màu vàng hơn và hơi đục. Chính vì nó mọc lên cạnh các răng trắng tinh xinh xắn kia nên sự khác biệt càng rõ và khiến nhiều phụ huynh nghĩ rằng răng vàng là do dơ, là răng có vấn đề. Nhưng thực tế đó là một hiện tượng hết sức bình thường.
Về màu sắc của răng thì gene cũng là một yếu tố quyết định tới màu sắc của răng, có bé răng màu ngả vàng, có bé vàng sậm, lại có bé răng hơi xám xám, điều này thì không thay đổi được. Việc uống canxi không có hiệu quả, vì mầm răng đã hình thành từ cách đây 3,4 năm, đến giờ thì chỉ việc mọc lên thôi chứ không thay đổi nữa.

Bố mẹ cần hướng dẫn cháu chải răng kỹ, đúng cách, kèm theo 4-6 tháng đi kiểm tra răng miệng một lần để bác sĩ giúp làm sạch những cao răng mảng bám chải răng không làm sạch hết được
Các biện pháp ngăn răng bị ố vàng
Có nhiều biện pháp phòng ngừa tình trạng răng bị ố vàng mà bạn có thể áp dụng cho trẻ, tùy mỗi trẻ lại phù hợp một phương pháp khác nhau:
- Cho trẻ sử dụng kem đánh răng có hàm lượng fluor phù hợp lứa tuổi
- Bạn nên bắt đầu vệ sinh răng miệng cho bé khi chiếc răng đầu tiên mọc lên. Ban đầu bạn có thể sử dụng khăn bông mềm, sau đó từ từ bắt đầu sử dụng bàn chải em bé.
- Không cho trẻ ăn quá nhiều thực phẩm có có hàm lượng đường cao. Thực phẩm có nhiều đường có thể dẫn đến sâu răng và khiến răng bị đổi màu.
- Đánh răng là một thói quen mà bạn nên dạy trẻ từ khi còn nhỏ

- Không cho trẻ bú bình vào ban đêm bởi sữa và đường có thể trở thành môi trường thích hợp cho vi khuẩn bám chặt vào miệng bé.
- Nếu nguyên nhân đổi màu răng là do chấn thương, bạn nên đưa trẻ đi khám nha sĩ để biết răng của trẻ bị đổi màu có phải do bị ảnh hưởng đến tủy răng hay không
Răng vĩnh viễn mới mọc có màu vàng ngà ngà là chuyện hoàn toàn bình thường. Tuy nhiên, bố mẹ nên để ý răng miệng cho con ở bất cứ độ tuổi nào, cho trẻ đến nha sĩ 3 - 6 tháng một lần để được tư vấn và phát hiện các vấn đề sớm nhất.
