Abcess lợi trong giai đoạn răng sữa. Liệu có nguy hiểm?
Nhiều bố mẹ không hề biết rằng sâu răng (đặc biệt là sâu răng sữa) là một trong những nguyên nhân hàng đầu gây áp-xe răng ở trẻ nhỏ. Trong những năm tháng đầu đời, do các bố mẹ thường có tâm lí răng sữa rồi sẽ thay nên chủ quan trong việc rèn cho con thói quen giữ gìn vệ sinh răng miệng. Điều này hoàn toàn sai lầm. Sự tiến triển của sâu răng ở răng sữa tương tự như ở răng vĩnh viễn, tuy nhiên tốc độ còn nhanh hơn. Các giai đoạn sâu răng tiến triển theo cấp độ như:
Giai đoạn 1: men răng bị acid tấn công và bị phá hủy, bề mặt men răng có đốm trắng như phấn sau tiến triển thanh lỗ sâu. Sâu ở men không có cảm giác và không đau.
Giai đoạn 2: ngà răng bị phá hủy, trẻ sẽ có cảm giác ê buốt khi ăn lạnh và thức ăn chua.
Giai đoạn 3: nếu răng có một lỗ sâu mà không trám ngay, sâu răng tiến dần đến tủy, cảm giác đau càng nhạy cảm hơn. Ở giai đoạn này, răng trẻ đau nhức dữ dội, đó là viêm tủy cấp tính. Tuy nhiên do diễn biến quá nhanh nên thực tế rất ít trẻ có dấu hiệu đau giai đoạn này, ngay lập tức chuyển sang giai đoạn 4
Giai đoạn 4: viêm tủy nếu không được chữa trị (điều trị tủy răng), sau thời gian ngắn răng sẽ chết tủy, tủy răng hoại tử và nhiễm trùng đi qua lỗ chóp chân răng vào xương hàm có thể tạo mủ gây áp xe ở vị trí tương ứng chân răng, viêm mô tế bào và có thể gây viêm xương hàm.
Những vết sâu răng, viêm lợi, viêm nha tưởng như đơn giản nhưng nếu không được kiểm soát, thì khả năng biến chứng hình thành áp-xe răng là vô cùng cao, khiến bé bị đau nhức răng liên tục, sốt, chảy máu răng… và nhiều ảnh hưởng đến sức khỏe khác.
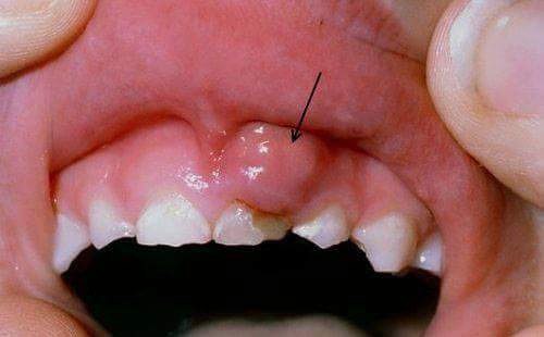
Áp-xe răng là gì?
Áp-xe là tình trạng sưng phồng, giống như những nốt phồng rộp hình thành khi mủ được tích tụ lại, dẫn đến nhiễm khuẩn ở một vị trí nào đó trên cơ thể. Đối với răng miệng, áp-xe răng là tình trạng nhiễm trùng, xuất hiện những túi mủ ở chân răng hoặc túi mủ ở rãnh lợi sát cổ răng.
Một ổ áp-xe có thể sẽ lan tới các phần khác trong khoang miệng, ví dụ như lợi, răng lân cận hoặc xương hàm. Nếu được phát hiện và điều trị kịp thời, tình trạng áp-xe răng ở trẻ nhỏ sẽ không bị nhiễm trùng lan sang lợi và những răng bên cạnh.

Có 2 loại áp-xe răng thường gặp là:
- Áp-xe quanh răng: vi khuẩn xâm nhập vào răng qua những lỗ sâu vào tủy, gây nhiễm trùng tủy, gọi là viêm tủy. Khi tủy bị viêm sẽ mở đường cho vi khuẩn xâm nhập vào xương ổ răng hình thành áp-xe quanh chóp
- Áp-xe nha chu: vi khuẩn hiện diện trong mảng bám gây viêm nha chu, hình thành túi nha chu sâu. Túi nha chu này dễ dàng bị nhiễm bẩn khiến cho vi khuẩn sẽ phát triển trong túi nha chu hình thành nên áp-xe nha chu
Nguyên nhân gây ra áp-xe răng?
Biết được nguyên nhân gây áp-xe răng ở trẻ sẽ giúp bạn dự phòng tình trạng này dễ dàng hơn. Bị nhiễm khuẩn trong khoang miệng là nguyên nhân chính dẫn đến một ổ áp-xe. Nguyên nhân phổ biến của tình trạng áp-xe răng ở trẻ nhỏ bao gồm:
- Sâu răng: Bé bị áp-xe răng nguyên nhân chủ yếu do biến chứng của bệnh sâu răng. Lỗ sâu lớn không được điều trị kịp thời dẫn đến biến chứng viêm tủy răng và viêm cuống răng, dẫn đến hình thành áp-xe chân răng sữa, gây đau nhức cho trẻ.
- Mảng bám răng: mảng bám răng bám quanh thân răng, đặc biệt là vùng cổ răng sẽ tạo điều kiện cho vi khuẩn gây viêm lợi, thậm chí áp-xe lợi.
- Tổn thương răng do chấn thương: Trẻ bị ngã hay bị chấn thương dẫn đến sứt mẻ, gãy vỡ răng thậm chí gây tổn thương tủy, sau một thời gian có dẫn đến áp-xe chân răng.

|
|
Điều trị áp-xe răng ở trẻ như thế nào?
Nếu phát hiện và có cách điều trị nha khoa kịp thời, áp-xe răng có thể được xử lí khá dễ dàng. Tuy nhiên, trong một số trường hợp, các biến chứng có thể xảy ra như gây viêm mầm răg vinh viễn bên dưới răng sữa hay có thể dẫn đến cả nhiễm trùng máu. Chính vì vậy, nếu có bất kì dấu hiệu nào của bệnh thì bố mẹ cần đưa bé đến phòng khám nha khoa để khám chữa và điều trị ngay lập tức. Việc điều trị áp-xe quanh răng phụ thuộc vào nguyên nhân gây bệnh
Nên đưa trẻ đi khám răng định kỳ mỗi 6 tháng một lần để kịp thời phát hiện những dấu hiệu bất thường ở giai đoạn sớm. Không nên chờ đến khi trẻ có áp-xe răng hay đau răng mới đến bác sĩ răng hàm mặt.
